Dr.Nobuの歯科治療 ~審美修復治療について~
お口のお悩みにサヨナラしましょう
あなたはご自分のお口を、どのような見た目にしたいと思いますか?
「歯を白くしたい」
「歯並びを整えたい」
「歯ぐきを美しくしたい」
「歯の形をきれいにしたい」
審美歯科を訪れる患者様のお望みは様々ですが、大体このいずれかに当てはまります。審美歯科では、そのお望みを叶えるお手伝いをします。
審美歯科について
では見た目が美しくなれば、それでいいのでしょうか?
いいえ、そうではないですよね。お口は、笑顔を見せるためだけのものではありません。食事がきちんと摂れ、スムーズに会話できるという普通の生活を送ることができなければ、“歯”としての意味がありません。美しい上に、機能的に整っていること。それが当たり前で大切なことなのです。
審美歯科は一般の歯科治療を基盤にしているため、その両方を正しく整えていく診療科目です。見た目はいいけど食事が摂りにくい……というのでは、デザインだけ優れた度の合わないメガネをかけているのと同じこと。見た目だけでなく、どんな小さな違和感などもご相談ください。それを治すことがDr.Nobuの使命なのです。
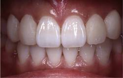
審美修復治療症例
実際にDr.Nobuが手掛けた、ある女性患者様の審美修復治療の症例をご紹介します。
step1
審美性は歯のみの問題ではなく、顔と歯のつながりに深く関わります。そのため、治療の前には十分な問診・診査の上、患者様の最も気になる部分と、口腔内のデータを明らかにすることが必要です。
まず、顔の中心と歯の中心が合っているかチェックします。この症例はそれほど悪い例ではありません。口元をリラックスさせた状態で歯の縁と唇の接する位置がドライラインの約2mm内側であるため、問題はありません。そして下唇と両側の犬歯の縁との関係、スマイルラインを見ていくと、両側に少し問題があるものの、咬み合わせや歯肉の状態は正常の範囲内です。
step3
最後に歯を分析します。問題は輪郭と、歯の縁の間の角度、軸、外側、また犬歯の長さにあることが判明しました。
結果をふまえ、患者様に審美性を求めるのであれば、ラミネートべニアとコンポジットレジンを用いて治療することを提案し、丁寧にご説明しました。
step4
まず患者様のご要望であったホワイトニングを施した上で、治療計画について話し合いました。そして、患者様はこの治療計画を受け入れ、審美修復治療をおこなうことを決めました。
【まとめ】
審美修復治療をおこなうにあたり、患者様の口腔内の状態を正しくチェックした上で治療計画を立てることは、非常に重要なことです。ここで注意すべき点としては、歯科医視点の客観的な治療の優先順位を押しつけるのではなく、患者様が最も気にしている部分を尊重しそこから治療にとりかかることです。患者様の立場に立った治療計画を提示することで医師の提案を受け入れやすくなり、スムーズに治療を進めることが可能になるのです。

